01
文章背景简介
BACKGROUND INTRODUCTION
肿瘤转移是一个复杂的多步骤过程,原发性肿瘤的局部侵袭在转移的发生中起重要作用。对实体肿瘤临床样本的分析证明了在侵入周围组织期间存在集体细胞迁移的现象。集体细胞迁移依赖于整合素介导的细胞与细胞外基质(ECM)的黏附、钙粘蛋白介导的细胞和细胞的粘附、以及肌动球蛋白细胞骨架产生的力的协调。细胞-ECM相互作用下游的Src激酶和粘着斑激酶(FAK)信号传导会增强细胞-细胞粘附的强度并促进集体细胞迁移。
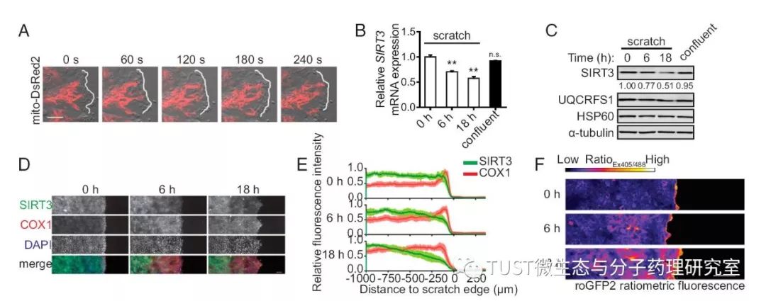
肿瘤细胞-ECM相互作用会产生细胞内活性氧(ROS),导致Src氧化和活化。鉴于ROS在细胞转移发生过程中的重要作用,深入阐明迁移肿瘤细胞对ROS调控的分子机制有着至关重要的意义。细胞具有自我调节维持ROS水平平衡的能力。SIRT3是一种促进有效氧化代谢的NAD+依赖性线粒体去乙酰化酶,是线粒体ROS产生和解毒的关键调节因子。虽然许多研究已经证明了SIRT3的肿瘤抑制作用,但关于它在细胞迁移和转移中的作用文献报道彼此矛盾,还需要进一步的研究。鉴于SIRT3在控制ROS稳态中的作用,以及缺失SIRT3促进乳腺肿瘤细胞增殖的证据,美国波士顿哈佛医学院细胞生物学系的Jaewon J. Lee等人就SIRT3是否调节细胞迁移和乳腺癌转移开展了研究,并于2018年6月在《Proceedings of the National Academy of Sciences of the United States of America》(PNAS,IF= 9.504;综合性期刊2区)发表题为“Inhibition of epithelial cell migration and SrcFAK signaling by SIRT3”的文章。
02
所用到的主要方法
METHODS
1.活细胞成像:需要定制的37°C显微镜培养箱,和5%的二氧化碳输送。
2.ROS水平检测:构建靶向线粒体的氧化还原敏感性绿色荧光蛋白探针的单克隆细胞株。
03
文章主要内容摘要
ABSTRACT
转移仍然是癌症死亡的主要原因,活性氧(ROS)信号通路会促进癌症转移的级联效应。然而,对与转移相关的ROS信号通路的调控分子途径的研究还很少。本研究中,作者发现SIRT3(一种线粒体去乙酰化酶),可以调控ROS通路并进而调节细胞迁移。作者发现:虽然在细胞迁移过程中线粒体会在迁移细胞的前沿边缘位置集中,但是在迁移过程中SIRT3的表达会下调,导致ROS水平升高。这种SIRT3介导的ROS调控可抑制Src氧化并减弱粘着斑激酶(FAK)活化。 SIRT3过表达会抑制乳腺癌细胞的迁移和转移。最后,在人乳腺癌中,SIRT3的表达与细胞转移及Src/FAK信号传导呈现出负相关关系。本文研究结果揭示了SIRT3在细胞迁移中的作用,对阐明乳腺癌的进展机制具有重要意义。
